الرئيسية طلب الرياضة والصحة Imagery Medical

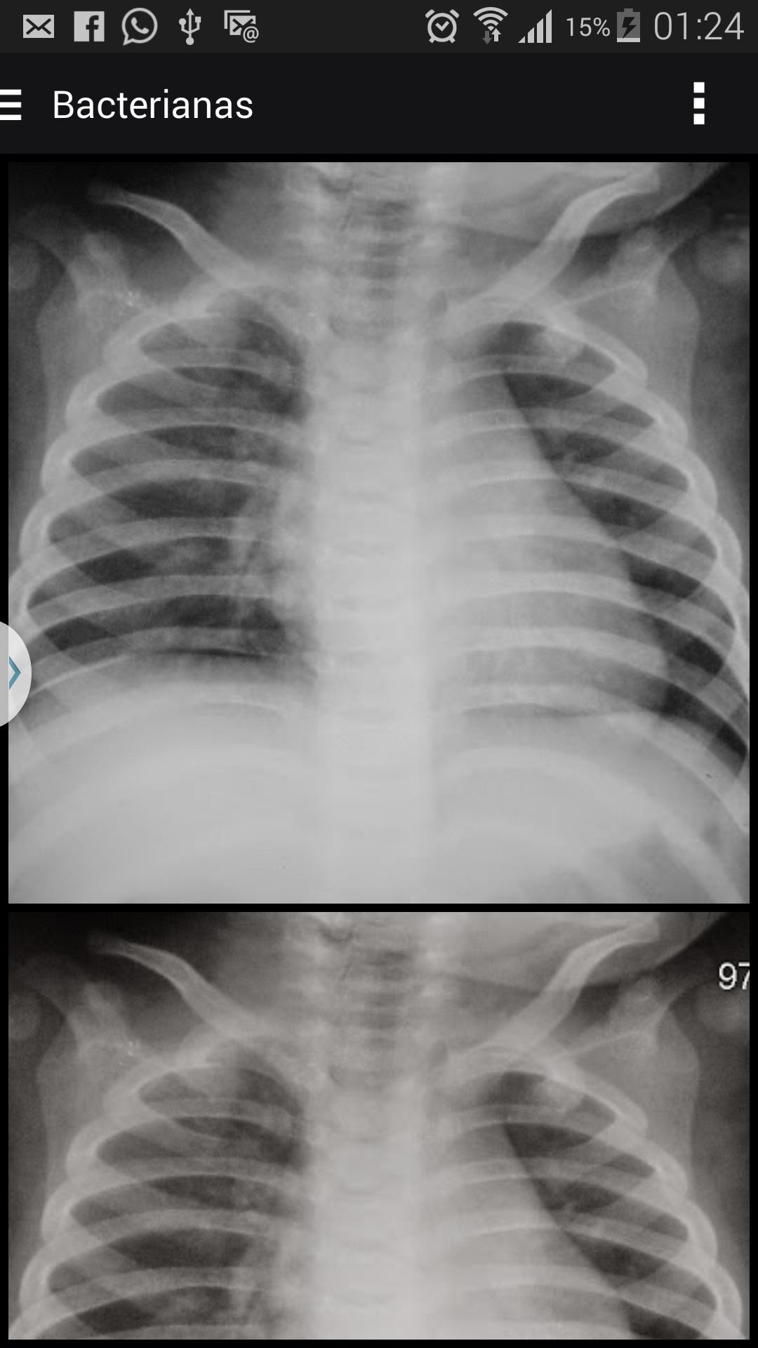
صور الأشعة السينية لدعم تشخيص الالتهاب الرئوي عند الأطفال

أثبتت أهمية الالتهاب الرئوي كسبب لوفيات الأطفال في البرازيل على النحو الواجب في الوثائق الصحية الأخيرة. الالتهاب الرئوي هو أهم سبب لوفيات الطفولة ، حيث يحتل السبب الثاني لوفيات الأطفال في البلدان النامية ، بما في ذلك البرازيل.

تعتبر منظمة الصحة العالمية من قبل منظمة الصحة العالمية (WHO) أفضل طريقة متاحة حاليًا لتشخيص الالتهاب الرئوي في الممارسة السريرية اليومية. تعتبر الدراسات التي أجريت على تباين interobserving شائعًا في جميع مجالات الطب ، ومع ذلك ، تسود في دراسات الصور ، بالنظر إلى أنه في هذا المجال ، يمثل أداء المراقب الجزء الهش ، يتناقض مع التقدم التكنولوجي ، الذي تم الحصول عليه في العقد الماضي.

يمكن أن تسمى التفسيرات التي تختلف عن "إجماع" من قبل لجنة مراقب من ذوي الخبرة "خطأ". يحدث التباين بين المراقبين عندما يكون هناك خطأ من قبل المراقب ، ولكنه يتضمن أيضًا الحالات التي يوجد فيها اختلاف في الرأي العام حول ما يمثله التفسير الصحيح. تمت دراسة الأخطاء والتغيرات بشكل خاص في تفسير الصور الشعاعية.

لتحديد صحة نتائج أي دراسة ، يجب أن تكون دقة الاختبار التشخيصي أقرب ما يمكن إلى الواقع ، ثم القيمة المرجعية ، تسمى أيضًا "Standard

الذهب "العامل الأساسي في تقييم الاختبارات التشخيصية. في حالة التشخيص الشعاعي للصدر ، وخاصة في مرحلة الطفولة ، يتم تقييم الدقة في تفسير الصورة بشكل ذاتي من خلال اتفاق inter و intraobserving ، حيث نادرا ما يكون هناك نمط يمكن استخدامه كمرجع (معيار) في تشخيص التهاب الرئة.

لذلك ، فإن البانوراما الحالية للالتهاب الرئوي في مرحلة الطفولة لها الخصائص التالية:

(ط) الالتهاب الرئوي هو سبب مهم للمرض والوفيات في الطفولة ؛

(2) هناك نقص في الاختبارات التشخيصية الحساسة من وجهة النظر الميكروبيولوجية ؛

(3) لقاحات الطفولة الفعالة للغاية (لقاحات HIB ومكورات المكورات المضادة) هي توافر ؛

(4) هناك نقص في اختبارات تشخيصية دقيقة بسيطة للتنفيذ والتنفيذ التكنولوجي ، المتوفرة في المناطق النامية التي قد تخضع للتوحيد لتمكين المقارنات بين الدراسات. مزايا استخدام التصوير الشعاعي للصدر في مختلف

مناطق العالم في دراسات مراقبة الالتهاب الرئوي تبرر تكلفتها المنخفضة ؛ توافر في معظم مواقع الدراسة ؛ قابلية المقارنة مع الدراسات الأخرى ؛ من السهل رقمنة الصور والتخزين ؛ إمكانية توحيد القراءات وانخفاض تندمية الأسلوب.

الذكاء الاصطناعي في الصحة تركز تطبيقات أنظمة الخبراء باستخدام الذكاء الاصطناعي في الطب (AMI) بشكل خاص على

(ط) التنبيهات والتذكيرات ؛

(2) المساعدة في التشخيص ؛

(3) النقد العلاجي ؛

(4) وكلاء استرداد المعلومات ؛ و

(5) التعرف على الصور وتفسيرها. من بين التحديات الحالية لتنفيذ أنظمة AMI هي تطوير الأنظمة التي تميز بدقة جوانب الممارسة الطبية.

في العقود الثلاثة الماضية ، تأتي الرؤية الحسابية (VC) كأداة جديدة لمنظمة العفو الدولية. VC استنادًا إلى معالجة الصور مع مراعاة جميع المعرفة الفردية للفرد ونمذجة هذه المعرفة في شكل نماذج رياضية والتي تهدف إلى حل المشكلات الجديدة بناءً على المشكلات التي تم حلها مسبقًا. المميزات المهمة المذكورة هي أن التطور التكنولوجي الذي له منتجه هو توحيد المعلومات القادمة من تطبيقها في انتفاخ VC.

ما الجديد في أحدث الإصدار 1.3

آخر تحديث في 15 أبريل 2016 - يمكنك تثبيت التطبيق على إصدارات Android الأقدم (API 11)
- مصادقة المستخدم عبر تسجيل الدخول وكلمة المرور
- صور جديدة